ऑस्ट्रेलियाई शोधकर्ताओं ने एक आर्टिफिशियल इंटेलिजेंस सिस्टम विकसित किया , AI सिस्टम से कोविड-19 संक्रमण का 98% से अधिक सटीकता से पता लगाना संभव
सिडनी
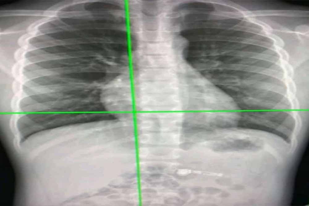
ऑस्ट्रेलियाई शोधकर्ताओं ने एक आर्टिफिशियल इंटेलिजेंस सिस्टम विकसित किया है जो छाती के एक्स-रे से कोविड-19 के संक्रमण को 98 प्रतिशत से अधिक की सटीकता से पता लगा सकता है। यह वर्तमान में उपयोग किए जाने वाले आरटी-पीसीआर परीक्षण की तुलना में अधिक फायदेमंद हो सकता है।
यूनिवर्सिटी ऑफ टेक्नोलॉजी सिडनी (यूटीएस) डेटा साइंस इंस्टीट्यूट के प्रोफेसर अमीर एच गैंडोमी के अनुसार सार्वजनिक स्वास्थ्य और वैश्विक अर्थव्यवस्था पर महत्वपूर्ण प्रभाव को देखते हुए कोविड-19 का पता लगाने के लिए प्रभावी स्वचालित उपकरणों की तत्काल आवश्यकता थी। प्रोफेसर गैंडोमी ने कहा, ''सबसे व्यापक रूप से इस्तेमाल किया जाने वाला कोविड-19 परीक्षण पोलीमरेज चेन रिएक्शन (पीसीआर) धीमा और महंगा हो सकता है और गलत नकारात्मक परिणाम दे सकता है। डायग्नोसिस करने के लिए रेडियोलॉजिस्ट को मैन्युअल रूप से सीटी स्कैन या एक्स-रे की जांच करने की आवश्यकता होती है, जिसमें समय लग सकता है और गलती की संभावना हो सकती है।''
उन्होंने कहा, "नया एआई सिस्टम उन देशों में विशेष रूप से फायदेमंद हो सकता है जहां उच्च स्तर पर कोविड-19 अनुभव हो रहा है, जहां रेडियोलॉजिस्ट की कमी है। चेस्ट एक्स-रे पोर्टेबल हैं, व्यापक रूप से उपलब्ध हैं और सीटी स्कैन की तुलना में कम जोखिम प्रदान करते हैं।" कोविड-19 के सामान्य लक्षणों में बुखार, खांसी, सांस लेने में कठिनाई और गले में खराश शामिल हैं, लेकिन कोविड-19 को फ्लू और अन्य प्रकार के निमोनिया से अलग करना मुश्किल हो सकता है।
साइंटिफिक रिपोर्ट्स जर्नल में प्रकाशित एक पेपर में विस्तार से बताया गया है कि नया एआई सिस्टम कस्टम कन्वोल्यूशनल न्यूरल नेटवर्क नामक एक गहन शिक्षण आधारित एल्गोरिदम का उपयोग करता है जो एक्स-रे फोटोज में कोविड -19 मामलों, सामान्य मामलों और निमोनिया के बीच जल्दी और सटीक रूप से अंतर करने में सक्षम है। प्रोफेसर गैंडोमी ने कहा, "डीप लर्निंग एक एंड-टू-एंड समाधान प्रदान करता है, जो बायोमार्कर को मैन्युअल रूप से खोजने की आवश्यकता को समाप्त करता है। कस्टम-सीएनएन मॉडल पता लगाने की प्रक्रिया को सुव्यवस्थित करता है, जिससे कोविड-19 का तेज और अधिक सटीक निदान मिलता है।"
उन्होंने आगे कहा, "यदि कम संवेदनशीलता के कारण पीसीआर परीक्षण या रैपिड एंटीजन परीक्षण नकारात्मक या अनिर्णायक परिणाम दिखाता है, तो मरीजों को वायरस की उपस्थिति की पुष्टि या खंडन करने के लिए रेडियोलॉजिकल इमेजिंग के माध्यम से आगे की जांच की आवश्यकता हो सकती है। इस स्थिति में, नई एआई प्रणाली फायदेमंद साबित हो सकती है। कस्टम-सीएनएन मॉडल का मूल्यांकन प्रदर्शन मानदंड के रूप में सटीकता के साथ एक व्यापक तुलनात्मक विश्लेषण के माध्यम से किया गया था। टीम ने कहा कि नतीजों से पता चला कि नया मॉडल अन्य एआई डायग्नोस्टिक मॉडल से बेहतर प्रदर्शन करता है।
